Dentique Studios
A Great Dentist
Book Online
(03) 9304 2357
General and Aesthetic Dentistry
318 Chesterville Road Bentleigh East, VIC 3165
Home
About Us
Our Team
Technology
Practice Photos
Services
View All
Cleanings and Exams
Cosmetic Dentistry
Crowns and Bridges
Emergency Dentistry
Extractions
Family and General Dentistry
Periodontal Treatment
Root Canal Treatment
Teeth Whitening
Veneers
Smile Gallery
Patient Info
View Patient Info
Financial
Specials
FAQs
Blog
Contact us
Dentique Studios
>
Smile Gallery
>
Teeth Whitening
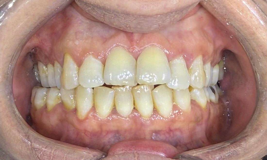
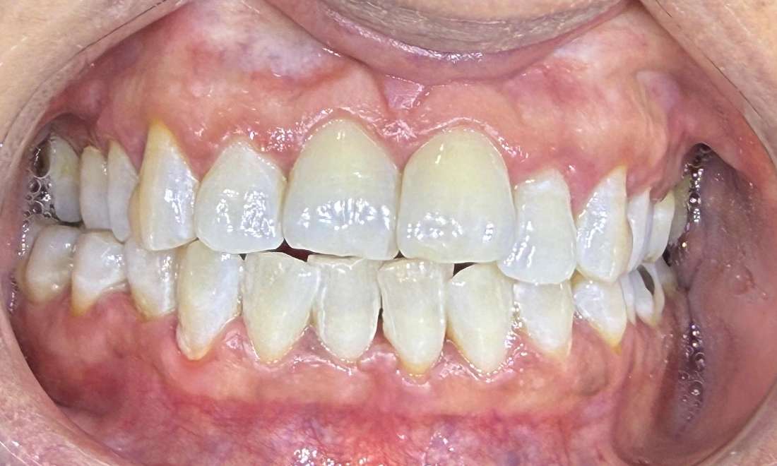
Teeth Whitening
Return to Smile Gallery
Related Services:
Teeth Whitening
Click image to see a larger picture
Before
After
Are You Ready to Book Your Next Dental Visit?
Contact Us
Any surgical or invasive procedure carries risks. Before proceeding, you should seek a second opinion from an appropriately qualified health practitioner.
OK!
×
×
Contact Us Today
Give Us A Call
Dentique Studios -
(03) 9304 2357
Send Us an Email
Ready to Schedule an Appointment?
Book Online
Have Questions? Contact Us:
Required Field
Your Name:
Phone:
Email:
Are you a new patient?:
Are you a?
New Patient
Current Patient
How would you like us to contact you?
Please choose
Email
Call
How did you hear about us?
Please choose
I'm an existing patient
Google/Bing
Mailer
Word of mouth
Social media
Other
Who Referred You?:
Your Message:
This site is protected by reCAPTCHA and the Google
Privacy Policy
and
Terms of Service
apply.
Sending...
×
This Patient's Experience
Loading Testimonial...
Loading Case...